Zahnarztpraxis Dr. Plein
Dr.med.dent. Tobias Plein & Dr.med.dent. Christiane Dudziak
Regensburger Str. 38 · 92224 Amberg
Phone 09621/84282 · Fax 09621/74290

Implantologisch tätige Zahnarztpraxis

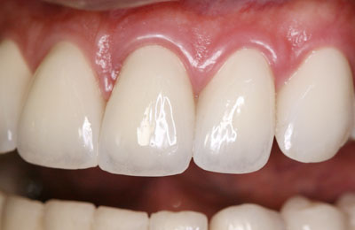
Bleaching

Beautiful white teeth can enhance your natural appearance. In contrast, stained teeth can take away from an appealing smile. Taking certain medications, smoking, drinking beverages such as coffee, tea, or red-wine are all activities that cause teeth to stain. Additionally, as we age, our teeth will naturally darken.

Through a process of lightening known as ‘bleaching’, teeth become bright and white again, enabling a truly brilliant smile. A peroxide gel is applied to the teeth and, through a process of oxidation, a reaction occurs in which free oxygen radicals are released which reduce pigmented molecules in the tooth. Bleaching can be performed on a single tooth or an entire row of teeth. Should the teeth darken again over time, the bleaching process can be repeated.

News

Hier finden Sie Neuigkeiten aus unserer Praxis, der Gesundheitspolitik und der Zahnmedizin...

→ weitere Informationen
Facebook